染色體核型分析
概述
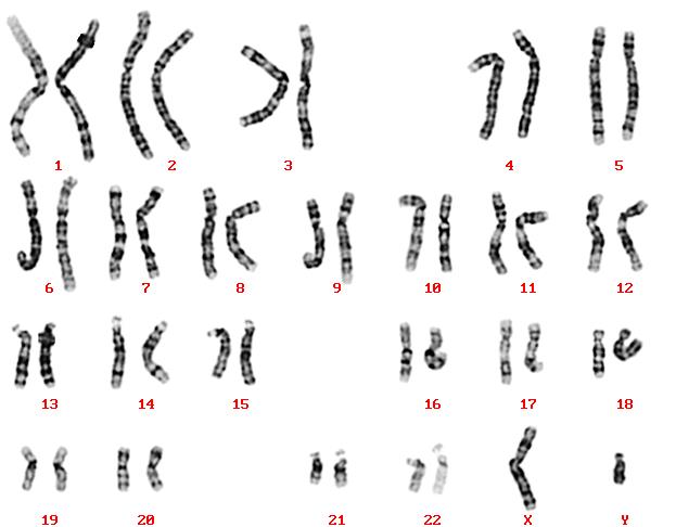
細胞遺傳學分析是對染色體結構的遺傳學研究。包括將染色體用Giemsa染色後進行的常規G顯帶分析,以及其他細胞遺傳學顯帶技術(例如C顯帶來揭示結構異染色質區域)。核型分析包括以下步驟:(1)細胞培養;(2)通過秋水仙堿溶液處理,使細胞有絲分裂終止在中期;(3)在低滲溶液中預處理細胞,使細胞脹大,染色體分散排列;(4)間期細胞固定;(5)顯帶;(6)在光學顯微鏡下對染色體進行分析,並按照一定順序排列起來製成核型圖。根據國際人類細胞遺傳命名系統2009(ISCN 2009)報告結果。推薦的最低條帶品質將取決於轉診指征。
報告週期(TAT)
- 產前樣本(AF / CVS):15天
- 血液樣本:18天
- POC /組織:28天
樣本要求:
| 樣品類型 | 量 |
|---|---|
| 血液 | 2-3毫升(肝素瓶中) |
| 絨毛 | 20 mg(運送培養基中) |
| 羊水 | > 15 ml(無菌容器中) |
| 胎盤組織 | 20 mg組織(運送培養基中) |
樣本呈交


